Повдигане на захапката

Абразията представлява изтриване на зъбните повърхности - най-често под въздействието на дъвкателната дейност, но понякога и в резултат на вредни навици на пациента. Много по-изразена е хоризонталната абразия - в областта на режещите ръбове и дъвкателните повърхности. Съществува обаче и вертикална абразия - в областта на междузъбните контакти, които при по-млади хора са точковидни, а при по-възрастни стават плоскостни - това се наблюдава при съседни зъби и се дължи на минималните движения на зъбите в алвеолите. По-леките степени на абразия представляват физиологично състояние - в англоезичната литература те носят името атриция. По-изразената абразия представлява патологично състояние, което вреди на здравето на пациента. В много случаи е възможно зъбите да се абразират дори до нивото на зъбния венец, което вече представлява сериозен проблем и изисква комплексно лечение. С напредването на зъбната абразия дъвкателните контакти от точковидни се превръщат плоскостни, площта им се увеличава и това изисква прилагане на все по-голяма сила за стриване на храната - силата се разпределя на все по-голяма площ и за постигане на едно и също дъвкателно налягане се изисква нейното нарастване като стойност. Това от своя страна води до хипертрофия на дъвкателната мускулатура - хора с изразена абразия имат мощни масетериални мускули и по това може да се диагностицира абразията още преди пациентът да е отворил устата си за интраорален преглед. От друга страна, хора с конституционално по-силни масетериални мускули прилагат по-големи дъвкателни сили първично, което също води до по-изразена абразия. На схемата горе са показни зъби без изразена абразия - режещите ръбове са с различна дължина, кучешките зъби имат добре изразен връх, а моларите са със сравнително остри туберкули. От бързане или от глупост графичният дизайнер е допуснал грешка - режещите ръбове на горните централни резци при нормални условия са с около милиметър по-дълги от тези на страничните резци. На така изготвената схема те са равни; всъщност и тубекрулите на премоларите и моларите при млади хора имат малко по-изразен оклузален релеф, така че би могло да се приеме че всъщност тези зъби са на пациент на възраст 40 - 45 години без много вредни навици и абразията е в границите на нормата. Идеалната холивудска усмивка обаче включва малко по-различни пропорции, които вече бяха описани в настоящото изложение.

Причини за понижаване на захапката биха могли да бъдат прекомерната употреба на кола, газирани напитки, включително „диетични” и „фитнес” напитки и натурални сокове от кутия. Всички те съдържат киселинни съставки, които извличат неорганичните съставки на емайла и той се изтрива доста по-бързо - неговата твърдост намалява. Същият ефект има прекомерната употреба на цитрусови плодове, оцет и други киселини. Употребата на повече от 4 чаши сок от цитрусови плодове в рамките на един ден може значително да ускори физиологичната абразия. Това важи с особена сила ако след консумацията им пациентът веднага измива зъбите си с паста и четка - абразивът на пастата в комбинация с действието на плодовите киселини води до ускорено износване на твърдите зъбни тъкани. За щастие в човешкия организъм същестува компенсаторен механизъм за това – процесът е обратим и временен, тъй като слюнката играе ролята на буфер, спомагащ на емайловитем минерални микрочастици да се върнат обратно по местата си. Поради това след консумацията на цитрусови плодове или ябълки, не изплаквайте устата си дори с вода в рамките на 1 час - тя отмива микрочастиците, циркулиращи в слюнката. Освен това киселите плодове стимулират слюноотделянето, така че всъщност няма необходимост от консумация на вода - пациентът не усеща жажда. Не бива да се измиват зъбите с четка и паста непосредствено след консумацията на въпросните плодове.

Консумирането на газирани напитки повече от 3 чаши дневно също може да ускори абразията. Тази употреба (особено на кола и особено сред подрастващите) рязко се е увеличила в последните десетилетия. Затова все по-често се срещат пациенти тийнеджъри с начални ерозии по зъбите - заболяване, което не е било често срещано преди години в тази възраст. Някои сладки газираните напитки водят до дехидратация и следователно до намалено количество слюнка, което от своя страна лишава зъбите от защитното ѝ действие. Освен това при подрастващите все още няма достатъчно изразена минерализация на зъбните тъкани - тази физиологична особеност също предразполага към ускорена абразия. Много тийнеджъри, особено момчетата, както и младите мъже, имат навик неволно да жабурят поетата в устата газирана напитка, поради разхлаждащото и приятното гъделичкащо усещане. Това обаче засилва времетраенето на киселинната атака на газираната напитка върху зъбите.

Съществуват и други фактори, при наличието на които може да се повиши рискът от абразия. Много пациенти например имат навик да смучат лимони - това също представлява киселинна атака на емайла. Стомашният рефлукс също предсталвява агресивно киселинно въздействие върху зъбния емайл - стомашният сок съдържа солна киселина, която е с много ниско рН. Още по-голям е рискът при заболяването булимия - страдащите от тази болест пациенти повръщат несмляна храна, която съдържа доста повече киселини в сравнение със стомашния сок, който се връща в устната кухина при рефлукс. При работа в среда с киселинни изпарения и аерозоли също се повишава съдържанието на киселини в слюнката - поради това в миналото работниците в производствата на акумулатори са страдали от множествен шиечен кариес и ускорена абразия. Днес всички при всички тези производства рисковете за увреждане на персонала са сведени до минимум. Употребата на някои медикаменти също е рискова - те водят до сухота в устата (ксеростомия - например за лечение на анорексия, депресия и реактивни психози). Намаляването на слюноотделянето всъщност лишава устата от защитното и буферно въздействие на слюнката. Прекомерното, агресивно и неправилно четкане на зъбите също ускорява тяхното изтриване. Това се случва по чисто механичен път - особено по-твърдите четки чрез многократните механични движения изтриват емайла чрез отнемането на микроскопични частици от него. В резултат на това се явяват дефекти с неправилна форма (ерозии), а също и се износват най-изпъкналите части от зъбите като върхове на туберкули и режещи ръбове. Подобно доказано изтриващо действие има абразивът на зъбните пасти, което действие обаче е второстепенно. По-значимо е въздействието на неправилната техника на четкане. Затова при наличие на чувствителни зъби и вече появили се шиечни дефекти е необходимо да се използва вертикална, а не хоризонтална техника на четкане. Не се притеснявайте да се обърнете към вашия стоматолог, ако смятате, че техниката ви на почистване е неправилна.

Запазете си час за безплатен преглед на телефон 032 642056 или 0700 1 52 52 - на цената на градски разговор

Вход в нашия форум    Зъболекар в Пловдив    Цени на зъболекарските услуги    Цени на зъбните импланти    Зъбни импланти

Адрес на нашата парактика

Можете да зададете въпрос и на електронна поща consult@ralev-dental.bg, office@ralev-dental.bg, ralev@dentist.bg

Керамични вставки    Композит    Свързваща система

Повдигане на захапката в е възможно да се осъществи по много и различни методи - в зависимост от способностите на лекуващия зъболекар, неговата визия и концепция и желанието на пациента. В миналото, само преди 40 - 45 години основен метод за повдигането на захапката беше изработката на обвивни корони, полукорони или 3/4 корони по възможност на всички зъби. Разбира се, при липса на зъби всяка една захапка може да се повдигне чрез изработката на тотални протези (или частични протези, в случай че има останали няколко зъба). През 90-те години на ХХ век много изследователи установиха че отличен резултат може да се получи и само чрез изграждане на всички зъби с композитен материал - както е показано на схемата горе, на която композитният материал е означен с тъмножълто. С негова помощ се изгражда всеки един зъб до необходимата височина - колкото е изгубена в резултат на абразията. Това е една доста трудоемка лечебна манипулация, която изисква доста клинично време, но има същевременно едно много голямо предимство: не изисква отнемане на здрави зъбни тъкани, нито пък девитализация на зъби - нещо, което много често се налага при повдигане на захапаката с помощта на обвивни корони. Понякога се налага само много повърхностно отнемане на зъбния емайл - с цел да се отстранят налепи, замърсявания, повърхностни кариозни петна, флуорни или тетрациклинови пигментации. След това съгласно адхезивния протокол на композитите се нанасят различни видове свързващи системи и се изграждат зъбите с композитен материал до необходимата височина. Накрая се извършва артикулиране и полиране на възстановяванията. При добра техника на работа трайността на реставрациите е голяма - от порядъка на десет години и повече, а поправките се извършват изключително лесно. Ползата от това лечение е много голяма - премахва се претоварването на дъвкателния апарат, мускулите не се преуморяват повече и се подобрява рязко дъвкателната ефективност. В България може би най-известният зъболекар, който работи в областта на повдигането на захапката с композитен материал, е украинецът Сергей Радлински - той е идвал много пъти в страната, за да сподели своите познания и клиничен опит. Последователите на колегата дори го наричат Маестро Радлински, макар че нямаме информация дали освен зъбоекар той се изявява като цигулар или диригент. Исторически погледнато обаче, Сергей Радлински далеч не е първи в областта - още с въвеждането на композитите в клиничната практика започват опити за повдигане на захапката с тяхна помощ, докато през 1990-те години това става масова практика в цял свят. 

При нормални условия зъбите се износват от порядъка на 1 микрометър на година. Всяко по-бързо износване се смята за патологично. Тъкмо то е причина за редица функционални и естетични проблеми – промени в лицето, челюстната става, болки в областта на лицето и шията. Намаляването на височината на зъба води до промяна в съотношението и с ширината му, като по този начин става причина за отдръпване и оголване на венеца, както и за различни шиечни кариеси и други дефекти. Трябва да се отбележи, че дори изтриване от 1 мм, което всъщност средно е 10 - 20% загуба на височината на зъба, е вече значително. Прекомерно дъвкателно налягане, скърцане и стискане на зъби определено е сериозен проблем, за решаването на който е редно да се обърнете към стоматолог за изработване на защитна капа шина на зъбите, която да се носи нощем или понякога през деня от пациента. Ефектът, както всъщност и при всяко лечение, зависи в голяма степен от готовността на пациента да съдейства на своя дентален специалист и да подхожда отговорно към своето лечение – той трябва стриктно да носи шината. Върху този проблем действат благоприятно релаксиращите масажи, иглотерапията и хомеопатията.

Необходимо е освен всичко останало да се редуцират стресът и негативните емоции. Бъдете стриктни в носенето на шината, ако имате такава. Най-добре е да посетите своя зъболекар, за да изясните корена на проблема. Причината за скърцането на зъбите може да се търси и в лошото моделиране на дъвкателните повърхности и блокиращите зъби. Понякога дори само една корона, изработена с неадекватно планирана дъвкателна повърхнoст може да отключи вредния навик – скърцане и стискане на зъби.

Блендкорони    Металокерамика   Семинар в София    Нашият екип    Зъбни импанти    Керамични вставки    Лицево-челюстна хирургия

Зъби, които са абразирани в начален етап, но подлежат на изграждане с композитен материал с цел повдигане на захапката. Подобен лечебен подход рязко ще подобри дъвкателната функция на пациента, а също и естетиката - както се вижда на снимката по-долу. Тъй като емайлът е с доста по-висока твърдост от дентина, той се изтрива доста по-бавно и по-трудно - което и се вижда особено при резците, но също и при моларите и премоларите. При по-напреднала абразия зъбите имат формата на чашки - страничните части са изградени от емайл с по-воляма височина, тъй като тази тъкан е по-твърда и се износва доста по-трудно. Центърът на чашката е изграден от дентин и има изразено хлътване - поради по-голямата степен на износване на дентина. Това обаче е валидно само при по-напредналите случаи на абразия - в началния етап се износва само емайл, тъй като външната част на зъба е изградена именно от емайл и е необходимо доста време, докато се стигне до вътрешния по-мек дентин. Древните анатоми са имали доста богато въображение и са наричали емайла substantia adamantina (диамантено вещество), а дентина - substantia eburnea (буквално вещество, наподобяващо слонова кост). Всъщност слоновата кост представлява именно зъбен дентин, тъй като бивните на слона са видоизменени кучешки зъби.

При напредване на процеса понякога може да се оголи зъбната пулпа, което става причина за изключително неприятни усещания - дори и минимални химични и термични дразнители водят до остра, понякога непоносима болка. В действителност това се случва доста рядко, тъй като природата е изградила компенсаторен механизъм - отлагането на вторичен дентин. Непрекъснатото термично и химично дразнене води до отлагане на този дентин от вътрешната страна на пулпата и нервът се отдръпва навътре - понякога дори далеч под орефициумите на кореновите канали. Според много автори това не е вторичен, а третичен дентин - вторичният дентин се отлага пак от вътрешната страна на пулпната кухина, но при нормални физиологични условия, а не при дразнене поради абразия. Същият феномен се наблюдава и при шиечни ерозии и клиновидни дефекти, но не в толкова голяма степен, поради което и при тях доста по-често се оголва зъбната пулпа. Преди това оголване обаче през дентиновите каналчета навлизат микроорганизми и се развива остър пулпит - това кара пациента да вземе своевременни мерки, тъй като пулпитната болка е непоносима и хората обикновено търсят медицинска помощ при такива състояния.  

Много често случаите са комплексни - изискват изработката и на композитни възстановявания, и на корони или мостове - както е на снимката горе, на зъби 13 и 14 ще се изработват обвивни корони. И тъй като в областта на човешкото съзъбие се развива доста разнообразна патология, нерядко се изисква и поставянето на зъбни импланти поради липсата на зъби в някои участъци. Това изисква доста комплексен подход, внимателно планиране и нерядко лечебни намеси от няколко специалисти едновременно или последователно. Не е възможно да се наблюдава комбинация от пародонтално увреждане и абразия - абразират се изключително и само зъби със здрав пародонт. Разклатени и пародонтално увредени зъби не се абразират - те просто се разклащат и падат, тъй като в биологичната система на организма е валиден с пълна сила постулатът че в една верига винаги първо се скъсва най-слабото звено. На горната снимка се вижда сравнително обилно натрупване на зъбен камък в областта на долните фронтални зъби - очевидно обаче пародонталният апарат на пациента е здрав, тъй като при увреждане в него долните зъби биха се разклатили и никога не би се стигнало до абразия.

В повечето случаи абразията е равномерна - износват се еднакво и долните, и горните зъби. Това е логично, тъй като дъвкателните сили действат в еднаква степен и на двете зъбни редици. По-рядко абразията е асиметрична, и то в съсвем малка степен - както е на снимката горе, износени са повече горните зъби. Това се дължи на чисто анатомични фактори - при нормални условия двата режещи ръба на централните резци са разположени на 1.0 - 1.5 милиметра под тези на страничните резци. При тези условия е съвсем нормално първи да се износят режещите ръбове на централните резци; същото важи и за върховете на канините (кучешките зъби от латински канис - куче). След един определен момент горните фронтални зъби имат еднаква дължина - което и прави пациента да изглежда по-стар. Нерядко именно това е първото оплакване на някои хора и те започват да търсят консултации и медицинска помощ за повдигане на захапката си.

Композит    Ецване    Зъбни импланти

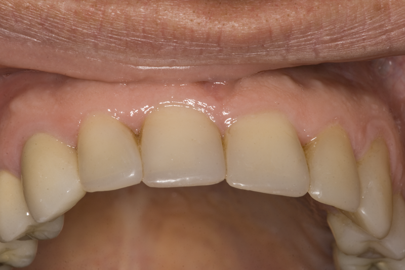
Горните фронтални зъби са изградени с композитен материал в областта на режещите ръбове, а в областта на горните странични зъби са изработени обвивни корони. Това води до подобрена естетика и функция на съзъбието на пациента. При добро полиране на зъбите хигиената се поддържа изключително лесно, а при фрактуриране на частици от композита възстановяването се извършва също много лесно.

Съществува доста добре изразена връзка между абразията и състоянието на темпромандибуларната става. При изразена абразия започват и промени в ставата - предимно от дистрофичен характер (артрози). Пвдигането на захапката в границите на физиологичната норма води до значително подобрение въд функцията на ставата - на практика оплакванията на пациента стихват, възможно е да изчезнат шумовете и болката или поне да намалеят значително. При понижаване на височината на захапката вследствие абразията ставният диск и хрущялните повърхности на ставата се увреждат чисто механично; тъй като повечето тъкани в човешкия организъм имат отлични способности за регенерация, промените са обратими за един доста дълъг период от време. При особено тежки случаи обаче промените стават необратими - дори и след повдигането на захапката оплакванията на пациента не стихват. За щастие обаче тези случаи са изключително редки - дори и при загуба на 1/2 до 2/3 от клиничната височина на короните промени в темпоромандибуларната става са леко изразени и възстановяването е бързо и пълно. Колкото по-бързо се вземат необходимите мерки обаче, толкова по-слабо изразени са уврежданията на ставата - своевременното лечение предпазва от тежки дистрофични промени. 

Крайният резултат